Stojíte před rozhodnutím, jakou plombu zvolit, a nevíte, která varianta vám zajistí největší estetiku i dlouhou životnost? Tento průvodce rozebere všechna možná řešení - od jednoduchých kompozitních výplní po špičkové celokeramické fazety - a pomůže vám najít tu nejlepší.
Co je plomba a jaké typy materiálů existují
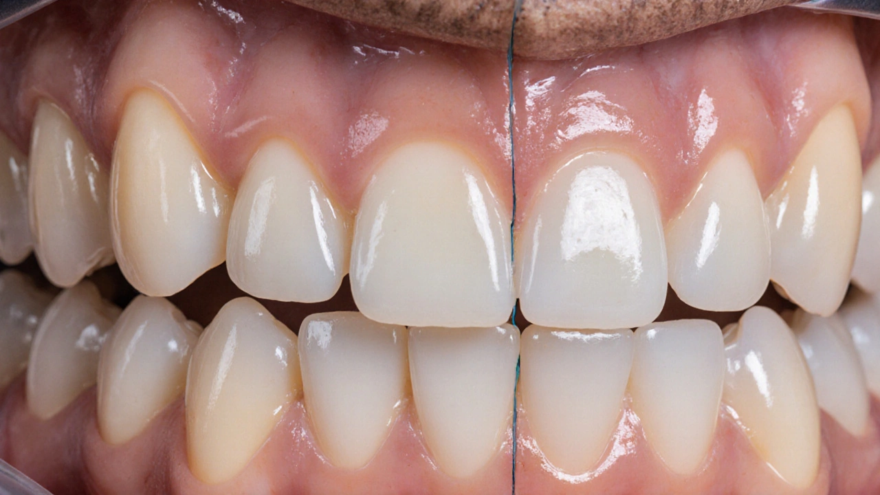
Plomba je zubní materiál, který vyplní kaz nebo poškozenou část zubu a obnoví jeho tvar i funkci. V praxi se používají čtyři hlavní skupiny: kompozitní výplně, celokeramické fazety jsou tenké keramické destičky určené k pokrytí celé přední plochy zubu, metalokeramické korunky a tradiční zlaté (kovové) korunky. Každý materiál má své specifické vlastnosti, které ovlivňují vzhled, pevnost i cenu.
Výhody celokeramických fazet
Celokeramické fazety patří mezi nejpopulárnější volby pro pacienty, kteří chtějí dokonalý úsměv bez kompromisů. Mezi hlavní přednosti patří:
- Estetika - keramika napodobuje přirozenou barvu a průhlednost zubní skloviny, takže výsledek vypadá naprosto přirozeně.
- Odolnost proti skvrnám - na rozdíl od kompozitu se fazety nezabarvují konzumací kávy, čaje či červeného vína.
- Vysoká pevnost v tlaku - moderní zirkonové keramiky mají pevnost až 1300MPa, což je srovnatelné s kovem.
- Šetrnost k zubu - příprava na fazetu zahrnuje maximální odlehčení poškozené struktury (často méně než 0,5mm).
- Dlouhá životnost - při správné péči vydrží fazety 10‑15let, někdy i déle.
Kompozitní výplně vs. celokeramické fazety
Kompozit je organický plastický materiál složený z pryskyřice a skleněných částic. Je levnější a dává se často na menší opravy, ale má i své limity.
Vlastnost | Kompozitní výplně | Celokeramické fazety |
---|---|---|
Estetika | Dobrá, ale méně průhledná | Vynikající, napodobuje sklovinu |
Odolnost proti skvrnám | Střední, může se zabarvovat | Vysoká, prakticky bez zabarvení |
Trvanlivost | 5‑7let | 10‑15let |
Náklady | Levnější, 1000‑2000Kč | Vyšší, 8000‑15000Kč |
Příprava zubu | Minimální, často bez broušení | Lehké broušení (0,3‑0,5mm) |
Rozhodnutí mezi těmito dvěma variantami často závisí na velikosti poškození a finančních možnostech. Pokud jde o menší kaz na zadním zubu, kompozit je rychlý a cenově dostupný. Pro přední zuby, kde je estetika na prvním místě, se většina zubních klinik doporučuje celokeramické fazety.

Metalokeramické korunky vs. celokeramické fazety
Metalokeramické korunky spojují pevnost kovového jádra s keramickou vrstvou. Jsou robustnější než čistě keramické fazety, ale mohou mít méně přirozený vzhled kvůli metalickému podkladu, který může prosvítat.
- Pečlivost při výběru barvy - během výroby je potřeba přesně sladit keramickou vrstvu s okolními zuby.
- Vyšší pevnost v tahu - vhodné pro zadní zuby, kde je zatížení největší.
- Možné tmavé okraje - pokud se kovové jádro projeví, může to narušit estetiku.
Metalokeramické korunky jsou často volbou, když je potřeba kombinovat sílu a příjemný vzhled, ale pro zcela bezchybné frontální úsměvy se raději sáhne po celokeramických fazetách.
Rozhodovací průvodce: kdy zvolit kterou variantu
- Rozsah poškození - pokud je zub poškozen jen nakousnutým kazem, postačí kompozit. Větší ztráta struktury (více než 2mm) vyžaduje fazetu nebo korunku.
- Umístění zubu - přední zuby → fazety nebo kompozit; zadní zuby → metalokeramické nebo zlaté korunky při vysokém zatížení.
- Požadovaná estetika - pokud chcete naprostou průhlednost a žádné metalické stíny, volíme celokeramické fazety.
- Rozpočet - kompozit je nejlevnější, následované metalokeramickými korunkami a nakonec celokeramickými fazetami.
- Citlivost zubu - pokud máte poškozenou dentinu, fazeta umožní menší zásah a menší riziko citlivosti po zákroku.
Vyplnění těchto kritérií vám pomůže zúžit výběr na jednu nebo dvě optimální varianty, se kterými můžete konzultovat váš zubař.

Jak vybrat správného specialistu a laboratoř
Úspěšný výsledek závisí nejen na materiálu, ale i na zkušenostech profesionálů. Zde je pár tipů, jak najít nejlepší tým:
- Hledejte stomatologa s certifikací v estetické zubní rehabilitaci a s portfoliem předchozích fazetových zákroků.
- Zjistěte, ve které dentalní laboratoři pracuje. Laboratoře specializované na CAD/CAM technologie (např. 3Shape, Sirona) poskytují vyšší přesnost.
- Smluvní podmínky - ověřte, zda je v ceně zahrnuta i následná kontrola a případná úprava fazety.
- Recenze pacientů - osobní zkušenosti často odhalí, jak rychle a precizně probíhá komunikace mezi zubařem a laboratoří.
Nezapomeňte se zeptat na možnost zkušebního provedení (tzv. mock‑up), který vám ukáže, jak bude výsledek vypadat ještě před finální aplikací.
Často kladené otázky
FAQ
Jak dlouho vydrží celokeramické fazety?
Při řádné ústní hygieně a pravidelných kontrolách u zubaře vydrží 10‑15let, někdy i déle. Klíčové je vyhnout se agresivnímu žvýkání tvrdých předmětů.
Je možné mít fazetu na zubu, který má vyšší citlivost?
Ano. Fazety vyžadují minimální úpravu zubu, což často sníží citlivost. V některých případech je nutné provést předchozí ošetření kanálkem.
Kolik stojí celokeramické fazety v průměru v ČR?
Cena se pohybuje mezi 8000 a 15000Kč za kus, v závislosti na materiálu (zirkon, porcelán) a náročnosti výroby.
Mohu si fazetu vyměnit za kompozit, pokud mi bude drahá?
Ano, ale bude nutné odstranit celou fazetu a připravit zub na novou výplň. To může zvýšit celkové náklady a prodloužit dobu léčby.
Jaká je údržba fazet po zákroku?
Základní údržba je stejná jako u běžných zubů - čistěte dvakrát denně fluoridovou zubní pastou, používejte mezizubní nit a pravidelně navštěvujte zubaře pro profesionální čištění.
Výběr té správné plomby rozhodně není otázkou náhody. Když zvážíte materiálové vlastnosti, rozsah poškození a finanční možnosti, najdete řešení, které vám zajistí zdravý a krásný úsměv na dlouhá léta.
Napsat komentář